こちらの患者様は、「右上の前歯が折れてしまった」とのことで来院されました。

硬いものを噛んだ際にご自身の歯が破折しており、裏側には大きな割れ目が確認できました。
歯はグラグラと動揺し、残念ながらこのままでは安定して噛むことができない状態です。
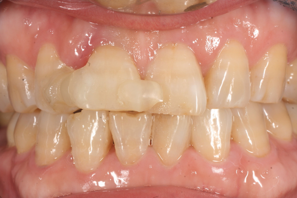
このように歯が割れている場合、まずは歯を保護するための応急処置を行います。
隣の歯と接着剤で一時的に固定し、痛みやぐらつきを抑えた状態で精密検査を進めました。

CT撮影を行うと、割れ目が歯根の深い部分まで達していることが分かりました。
このようなケースでは、差し歯(クラウン)などの保存的治療では改善が難しく、
抜歯を前提とした治療計画が必要になります。
患者様に状態を丁寧にご説明し、十分なご理解とご同意をいただいた上で、
抜歯即時インプラント治療を行いました。

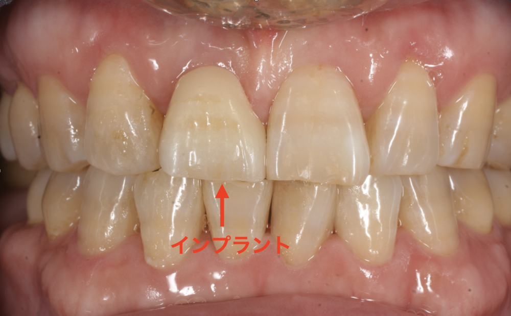
抜歯と同時にインプラントを埋入することで、
骨の吸収を最小限に抑えながら見た目と機能を早期に回復できます。

治療後は仮歯を経て、最終的に自然な色調のセラミッククラウンを装着し、
周囲の歯と調和した仕上がりになりました。
曽我歯科医院三軒茶屋では、このような前歯のインプラント治療も行っております。見た目の自然さや審美性が求められる前歯部では、骨や歯ぐきの形態を保ちながら治療を進めることが大切です。
当院では、状態に応じて抜歯即時埋入などの手法を用い、できるだけ骨の吸収を防ぎながら、見た目も機能も両立する治療を心がけています。CTによる精密診断とガイドシステムを併用することで、患者様の負担を最小限に抑えながら、安全で正確なインプラント治療を提供しています。「歯が折れてしまった」「前歯を自然に回復したい」そんな方は、ぜひ一度ご相談ください。
※本症例は患者様の同意の上掲載しております。本治療は自由診療です。治療費:528,000円、治療期間:8ヶ月、リスク:手術後に歯茎の痛みや腫れが出ることがあります。定期的な検診・クリーニングを行わないとインプラント周囲炎を起こすことがあります。









